A New Dimension of Clarity









Virchu is the premier histopathology-powered precision oncology platform. Bringing clarity to the complexity of cancer and creating the conditions for world-changing discoveries.
Complex Inputs
Complex Inputs
Human Outcomes
Human Outcomes


AI is only as effective as the inputs on which it is trained— that's why we have developed a platform focused on training and validating world-changing oncology models. The Virchu platform provides users with access to highly-curated, de-identified, constantly evolving assets in a tool-agnostic computational environment. Our asset, infrastructure, and services are designed to unlock the insights that will transform cancer detection and care.
Co-Creating Clarity
Co-Creating Clarity
A purpose-built environment for curating, training, and validating AI to unlock new treatments, detections, and cures.


Unmatched Foundation
Unmatched Foundation
for Unlocking Insights
for Unlocking Insights
unmatched asset
Representing decades of cancer care from world-class institutions, aggregated into a platform designed to deliver insights and power oncology innovation.
dynamic data pipeline
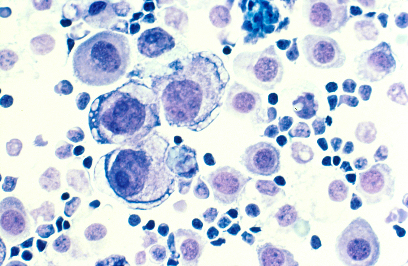
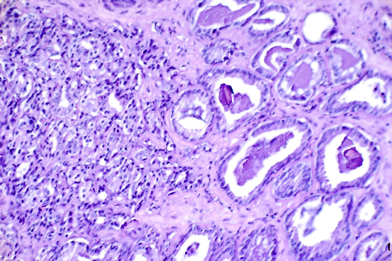
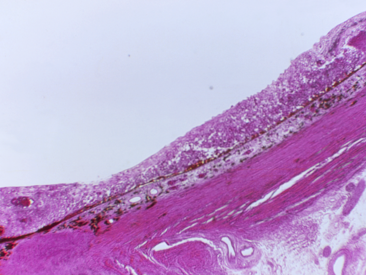
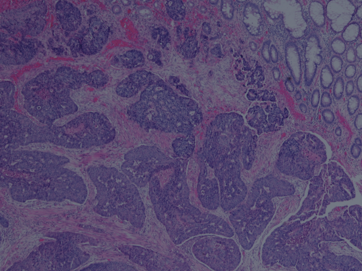
A comprehensive archive of millions of whole-slide images at 40X resolution and growing daily.
representative + diverse
Across cancer types including: GYN, GI, GU, Thoracic, Bone & Soft Tissue, Nuero, Renal, Head & Neck, and Breast.
Rich + Longitudinal
Dynamic, de-identified profiles covering 26 atrributes including demographics, treatment, trial, diagosis, and outcomes.
Destination for Discovery
Destination for Discovery
A secure, tool-agnostic platform that is flexible, customizable, and engineered to power rapid cohort identification and model validation at scale.


Accelerating Clarity
Accelerating Clarity
for Partners in:
for Partners in:
An Expert Team
An Expert Team




Clarity amid the complexity of cancer




